用户_胡洋|女病人被误认为结核差点被逼疯,其实是结核菌的“小兄弟”感染

文章图片

文章图片

文章图片

文章图片
网上接诊的一个女病人 , 四十来岁 , 几乎被逼疯 , 原因是肺部CT做出来的表现太像结核 , 差点被隔离 , 到哪里都被嫌弃 , 婆媳关系也不好处 , 因为怕被传染 , 到我们这里来做了气管镜终于还她“清白” , 原来是结核菌的“小兄弟”——非结核分枝杆菌感染 。
第一眼看 , 她的CT表现的确像肺结核的表现 , 我们知道 , 肺部结核的表现一般是多形态 , 多病灶 , 多空洞等征象 , 大部分发生于人肺的上端 , 尤其是上叶后段 , 从症状上讲 , 病程较长 , 迁延不愈 , 如果不进行有效治疗 , 患者可以咳嗽、发热、盗汗很长时间 , 如果患者免疫力还可以 , 病情可以不加重但也不好转 , 持续几个月 , 人被消耗的越来越瘦 。 鲁迅笔下的华小栓就是肺结核患者 , 另外 , 有些肺结核病人会体现出一种病态的美 , 人瘦且因为低热两颊晕红 , 《红楼梦》里的林黛玉就是代表 。
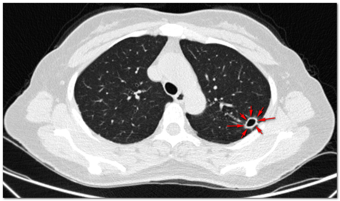
【用户_胡洋|女病人被误认为结核差点被逼疯,其实是结核菌的“小兄弟”感染】双肺多形病灶
左肺空洞
这个女病人是双上肺多发的斑片 , 点状病灶 , 在左上肺形成了一个小空洞 , 其实这样的病灶在她身上已经存在了很久 , 每次感冒会发热 , 由于疫情防控需求 , 每次发热到医院都需要拍片子 , 一拍片子就查出来肺部病灶 , 就被要求在医院隔离等待核酸等检查结果 , 给生活带来了很多麻烦 。
左舌叶多发多形态病灶
后来 , 她实在受不了 , 于是在网上问诊了另外一个医生 , 上传了一个片子 , 那个医生非常仔细 , 给她讲了这个片子的各种疾病可能性 , 甚至提到了肺癌 , 这下把她给吓坏了 , 儿媳妇都快生产了 , 还是在网上联系到我 , 到上海来住院 。
住院后给她做了气管镜 , 把左上肺空洞的那个部位仔仔细细的用生理盐水冲洗了一下 , 并把收集的灌洗液送去做了NGS检查 , 最终确诊为鸟结核分枝杆菌 , 这样一切都可以解释了 , 也还了她清白 。
鸟结核分枝杆菌属于非结核分枝杆菌一种 , 这种细菌和结核菌其实是“近亲” , 感染之后和肺结核表现近似 , 但比肺结核感染症状要轻 , 发展要慢 , 毒力低 , 抵抗力却很强 , 治疗效果差 , 对结核治疗效果好的药对它却起不到很好的作用 。
非结核分枝杆菌其实有很多种 , 其中又分两大门派:分别是快生长和慢生长 , 一般慢生长的哪一类治疗效果更差 , 但发展也更慢 , 对身体损害也更小 , 就像牛皮癣 , 贴在身上永远揭不掉 , 快生长的需要治疗 , 一般用以克拉霉素为核心的治疗方案治疗 。
其实自然界当中 , 我们会有很多机会接触到非结核分枝杆菌 , 被感染发病的可能性却很小 , 一般是免疫力低下的人才会感染 , 尤其是支气管扩张患者 , 由于局部免疫力被破坏 , 更容易被感染 , 因此 , 这个病不算是传染性疾病 , 不会相互传染 。
患者终于重获清白 , 但一想到还要治疗好久 , 还是难以开心起来 。
经验总结扩展阅读
- 女神“宽胯”的鲨鱼裤美女,擅长打造优雅靓丽风,魅力无穷
- 女神苏提达是冻龄女神,“花仙子”造型美出圈,高颜值碾压茜茜公主
- 下巴一直感觉王子文很像另一个女星,终于找到了
- 女人,永远不要羡慕别人的生活
- 离婚|女人离婚后生活怎么办?这个女人讲了真心话
- 小美女子做全麻隆鼻,术后2天竟发现当时已怀孕,术前检查却毫无征兆
- 斑点祛斑不如防斑,告诫:这7个长斑原因,女人要注意避开
- 进行悄悄告诉女人:护肤牢记4个“秘诀”,四十岁看起来也很年轻
- 卡耐基告诉你:提升女人气质的方法,在于这四点
- 一个没太大能力又无学历的离异女人在深圳有房有车,未来会怎样?
