医者良言 什么是肺大疱?被查出肺大疱应该怎么办?医生告诉您答案

文章图片

文章图片

文章图片

文章图片
前两天遇到一个40多岁的大姐 , 她在一个月前出去游玩的时候突然摔倒了 , 虽然感觉左侧肋骨有点难 , 而且还有点胸闷 , 但是由于症状不是太明显 , 所以也就没有放在心上 。
但是最近两天 , 突然感觉出现明显的呼吸困难、气喘、胸闷和胸痛 , 大姐意识到自己病情可能严重了 , 所以立刻就去了医院 。 做了相关检查后 , 医生告诉她说是肺大疱破裂引起的气胸 , 大姐听了一脸疑惑 , 所以就发出了开头的疑问 。 为了让大家对肺大疱有更多的认识和了解 , 我来分享一下相关的知识 。
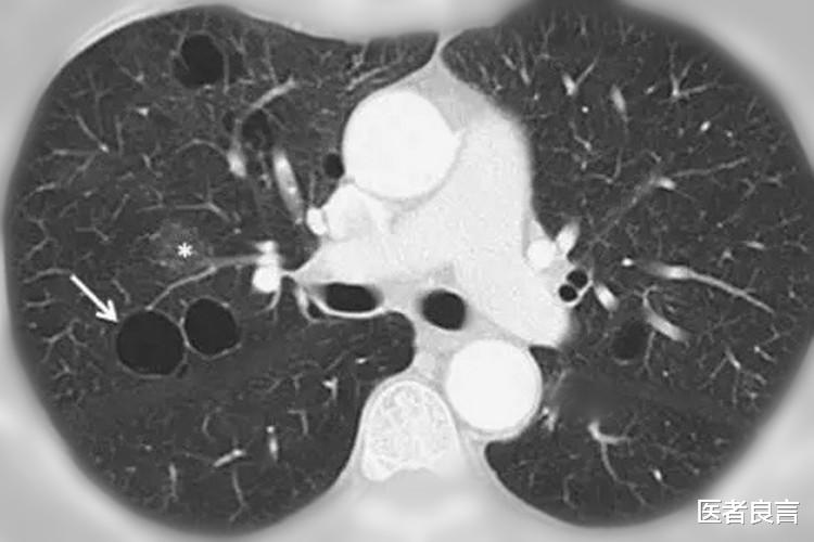
1.什么是肺大疱?我们为何会有肺大疱?
蜂窝
我们的肺是由很多的肺泡构成的 , 这些肺泡和蜂窝上的蜂室有点类似 , 都是基本的组成单位 。 这些肺泡是很小的 , 即便做胸部CT也是看不到的 , 但是如果在某种原因的作用下 , 肺泡腔的压力增高 , 那肺泡内壁就会破裂 。
破裂的肺泡会相互融合 , 这样的话就会形成比原来肺泡更大的囊腔 , 也就是我们说的肺大疱 。 不过需要注意 , 肺大疱的直径一般来说是大于1cm的 , 而且里面还含有一些气体 。
说白了 , 肺大疱就是一种含有气体的空腔 , 较小的单个肺大疱一般来说都没有明显的症状 。 体积较大或者多个肺大疱就有可能会出现胸闷、气短等的症状 。
肺大疱和正常的肺泡相比 , 它们已经没有原来的功能了 。 如果肺大疱的数量多或者体积大 , 那肺功能肯定就会受到很明显的影响 , 所以这类患者就会有一些不舒服的症状 。
哮喘
可能会有朋友疑惑了 , 我们好好的怎么会有肺大疱呢?上面我已经说了 , 只要是能引起肺泡腔内压力增加的因素 , 都可以引起肺大疱 。 引起肺泡腔压力增加的原因就比较多了 , 不过最主要的就是肺部疾病 , 比如肺炎、肺气肿、哮喘、支气管炎、慢性阻塞性肺疾病等 。
慢性阻塞性肺疾病这种疾病会引起气管的阻塞 , 从而形成活瓣作用 , 换句话说 , 空气容易进去 , 但是却不容易出来 , 这样的话肺泡的气体就会增多 , 肺泡内的压力就会增加 。 这就好比吹气球 , 一直往里面吹气 , 那气球内的气体就会增加 , 气球就容易破裂 。
年轻人也比较容易出现肺大疱 , 特别是20岁左右、瘦高体型的 。 这个主要是因为这个年龄段的人在生长发育的过程中 , 因为个子长得比较快 , 胸廓的拉伸速度也快 。 这个时候会造成胸部的负压增大 , 那肺部就会承受比较大的牵拉作用 , 肺泡腔内的压力就会增大 , 肺泡就容易破裂 , 从而形成肺大疱 。
也有人肺大疱压根就找不到原因的 , 临床上称之为特发性肺大疱 , 具体的原因还不明确 , 不过考虑可能和先天性的基因异常有关 。
不过肺大疱也有先天性的 , 这种多见于小儿 , 主要原因就是软骨发育不良 。
2.如果被查出肺大疱应该怎么办?现实中很多人被查出肺大疱以后 , 心里都比较忐忑 , 不知道应该怎么办 。
经验总结扩展阅读
- 什么家有柯基:柯基幼犬可以吃什么 小柯基吃什么又营养又健康?
- 充满遗憾的人生,你最大的遗憾是什么
- 方法去角质有哪些方法,需要注意什么
- 为什么要学会放手?是为了放过自己
- 《开端》众生皆苦!除了小人物让人破防,还隐藏着什么样的思考?
- 什么发色分享:5款高级的蓝色发色,你喜欢哪款?
- 什么新年美甲|临近春节,红色系美甲走一波?
- 唇膏Dior迪奥变色唇膏既是口红又是滋润唇膏,001和004色号有什么区别
- 什么各大女星的卸妆照,赵丽颖可爱,你觉得谁变化大呢
- 什么永不缺席的ins美甲合集又来了!速速安排!
