
想要拥有健康的身体 , 就需要人体各方平衡发展,这样才不会出现其他问题,那对淋巴细胞百分比偏高是怎么回事呢,对此也是很多人不太了解的,在有这样情况出现后,也是要及时的治疗,不过要注意的是,人体一旦出现这样情况 , 身体免疫力都是会降低的,这点要注意 。

文章插图
那淋巴细胞百分比偏高的原因是什么呢,也是很多人不太了解,在出现这样情况后,想要能够很好的解决,就需要对这样问题进行很好认识,使得知道该选择什么样方法 。
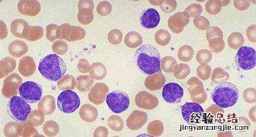
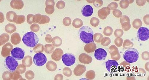
淋巴细胞百分比偏高:
淋巴细胞正常百分比参考值是20--40% 。淋巴细胞是一种免疫细胞,当绝对值高时,人体的免疫力就会低下,这个时期很容易感染一些疾病 。引起淋巴细胞高的原因常见于病毒性的传染病如流感,需要注意的是要增强免疫力动能;至于用药方面不能盲目服用 , 如果在本身不知的情况下服用某些过敏性药物也会致使淋巴细胞增高,所以要遵医嘱 , 正确的认知才可以积极预防疾病 。
引起淋巴细胞百分比偏高原因很多 , 如总白细胞数目下降,或淋巴细胞数目增多 。常见于某些病毒性感冒,自身免疫性疾病,一些药物的副作用等,临床还要考虑其他项目指标 。
淋巴细胞白血病是骨髓及其他造血组织中有广泛的白血病细胞异常增生 , 主要是不成熟淋巴细胞,及浸润其他组织器官 , 导致正常造血功能衰竭,表现为正常造血细胞显著减少 。与淋巴细胞百分比偏高有关系 。
【淋巴细胞百分比偏高 淋巴细胞百分比偏高是什么意思】通过以上介绍,对淋巴细胞百分比偏高也是有着很好的了解,因此在有这样情况后,都知道该如何做 , 不过在有这些问题的时候,在解决的时候,饮食是最佳之选 , 这样的方法对稳定患者疾病,都是有着很好的帮助 。
