杭吉泰迪干细胞|数百例患者证实:干细胞能修复膝关节损伤!

文章图片

文章图片

文章图片

文章图片

文章图片

文章图片
汇总聚焦于全球干细胞治疗膝关节炎的数百例真实治疗案例 , 已经证实: 间充质干细胞( MSCs )在膝关节炎治疗中是安全和有效的 ,本篇文章带您了解最新的临床进展 。
骨关节炎(Osteoarthritis , OA)是一种退行性关节疾病 , 在中老年群体中发病率极高 ,主要表现为关节疼痛及功能障碍 。其发病率位列非传染性疾病排名的前10位 。 在中国50岁以上的人群中有8.1%的人有症状的膝骨关节炎患者 , 共计3000余万人 。
间充质干细胞(MSCs)的治疗作用主要归因于其在炎症环境调控下发挥的免疫调节功能 ,可以用于治疗广泛的退行性和炎性疾病 。如: 溃疡性结肠炎、关节炎、GVHD、 系统性红斑狼疮等 。
MSCs治疗膝关节软骨损伤文章荟萃本篇汇总聚焦于MSCs治疗关节炎 。 下面就为您列出在人体实验的间充质干细胞(包骨髓间充质干细胞和脂肪间充质干细胞)用于治疗膝关节炎的进展 。
膝骨性关节炎的诊断很重要的一项是各种评分:
VAS主要评价疼痛;
WOMAC用于评价老年的膝关节炎;
Lysholm评分膝关节功能的可靠性、有效性、敏感性比较高 。
1自体BMSC治疗膝骨关节炎的初步研究(Transplantation 2013)
参组人数:N = 12人(无对照研究)
治疗方案:关节腔内注射培养扩增的4*10^7个间充质干细胞BMSCs ,治疗后1年检测结果 。
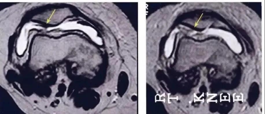
评价指标: VAS评分 | WOMAC评分 | 勒凯纳指数 | MRI
研究结果:接受骨髓间充质干细胞治疗的病人 , 其膝关节功能指标逐渐改善 , 改善率在1年内接近65%至78% , 软骨质量也得到改善 , 其中11名病人软骨缺损面积明显减少 。
上图为该研究的总结 , 复杂的我们就不看了 , 理想的治疗方案是我们基本达不到的治疗 , 可以看出MSCs治疗方案比传统方案更加接近理想治疗方案 。
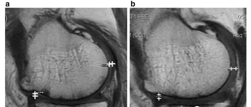
2自体BMSC治疗膝骨关节炎六例(Arch Iran Med 2012)
参组人数:N = 6人(无对照研究)
治疗方案:关节腔内注射培养扩增的2~2.4*10^7个间充质干细胞BMSCs ,治疗后6个月 , 1年检测结果 。
评价指标: MRI | VAS评分 | WOMAC评分 | 步行距离
研究结果:关节内注射骨髓间充质干细胞6个月后 , 疼痛、功能状态和步行距离均提高 。 6名治疗组中3名患者在治疗前后的MRI比较可以看出 , 该治疗对于改善软骨厚度 , 修复组织延伸超过软骨下骨 , 以及减少软骨下骨的水肿是非常显著的 。
△ a示意治疗前软骨 , b为治疗后6个月软骨 , 箭头所示为软骨修复位置 。
3关节内注射两种不同剂量的自体BMSC与透明质酸治疗膝骨关节炎:多中心随机对照临床试验(Ⅰ/Ⅱ期)(J Transl Med 2016)
参组人数:N = 30人(随机对照实验)
治疗方案:关节腔内注射培养扩增的1*10^7(低剂量组)、1*10^8(高剂量组)个间充质干细胞BMSCs ,治疗后3个月、6个月、12个月检测结果 。
经验总结扩展阅读
- 方法科普:干细胞除皱是什么?干细胞除皱好还是除皱针好?
- 能力实事揭秘:干细胞美容合法吗?干细胞美容注射国家允许吗?
- 什么热门科普:什么是干细胞美容?表皮干细胞的作用和功效
- 烫发 ?奔五的女人快远离“泰迪卷”!这3款烫发更适合你,显脸小还洋气
- 人体探究干细胞除皱是什么、干细胞去皱纹可靠吗?
- 渐进性干细胞是否具有延缓衰老的作用?
- 发型谭松韵又解锁了新发型,可爱的“泰迪卷”俏皮减龄,真有30岁了?
- 脸部什么啊?打完干细胞脸部僵硬、干细胞的负面影响这么大么?
- 注入干细胞去皱效果怎么样、自体干细胞除皱怎么样、赶紧看~
- ENlivEN疑问:干细胞抗衰有效果吗、干细胞可用于面部抗衰吗?
