用户_胡洋|IIIB期肺癌患者术后一年多,就出现转移

文章图片

文章图片
【用户_胡洋|IIIB期肺癌患者术后一年多,就出现转移】

文章图片

患者 , 孙某 , 女 , 66岁 , 患者2018年03月体检胸部CT:右肺下叶纵隔旁占位 , 约31mm*19mm 。 见图1、2、3 。 进一步行PET-CT检查 , 提示:右肺下叶后基底段大小约3cm*1.9cm的扁圆形软组织肿块 , FDG代谢异常增高 , 与胸膜宽基底相连 , 右胸廓入口、气管前腔静脉后、主动脉弓、右食管旁多发肿大淋巴结 , FDG代谢增高 , 考虑转移 。
2018年03月12日在某省中医院行“肺癌根治术” , 术后病理提示:(右下肺)浸润性腺癌 , II-III级 , 腺泡型+微乳头型 , 肿块大小3cm*2.7cm*1.2cm , 癌组织紧靠肺膜 , 支气管切缘未见癌组织残留 , 支气管旁淋巴结未见癌转移 。 第2-4组淋巴结9/9 , 3A组淋巴结4/4 , 7组淋巴结2/2 , 9组淋巴结4/4 , 10组淋巴结2/2 , 11-1组淋巴结1/1 , 12组淋巴结1/3 , 右后返神经旁淋巴结2/2见转移 。
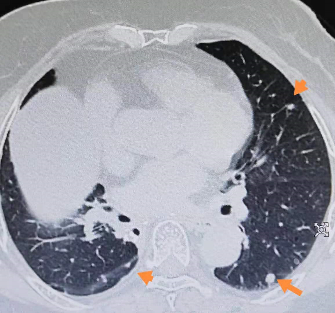
该患者基因检测无敏感基因突变 , PDL1表达低于1% , 术后予以培美曲塞联合卡铂及安维汀化疗六周期 。 2019年07月患者复查CT提示肺内多发结节 , 考虑转移 。 见图4、5、6 。 于是选择二线紫杉类联合铂类化疗 , 2020年12月肺结节增多 , 增大 , 再次进展 , 由于体质较差 , 予以三线安罗替尼口服 , 目前安罗替尼口服过程中 , 预计生存时间低于6个月 。
从病理分期来看 , 该病人分期为IIIB期 , 复发转移高危因素较多 , 比如低分化、淋巴结转移数量多 , 癌组织紧靠肺膜 。 按照2021年CSCO指南 , 临床N2 , 多站纵隔淋巴结转移 , 预期可能完全切除 , 这类分期 , 指南建议根治性同步放化疗(1级推荐) , 或者新辅助治疗(化疗±放疗)后再考虑手术(II级推荐) , 见图7 。 从指南看 , 并不推荐直接手术 。
III期肺癌病人 , 及时进行多学科会诊并选择最好的治疗方案非常重要!不要为了手术而手术!
经验总结扩展阅读
- 用户「众测研究团」谁也逃不过真人实测!400人实测霓姿多功能美容仪
- 用户Kanebo嘉娜宝黑管洗面奶怎么样?
- 用户珂润控油保湿啫喱乳液用户测评
- 品牌浪潮产品奖:戴可思—创新应该解决用户的真需求
- 观点评论曼瑜天雅从创立到全球900万用户只用了3年
- 用户一半蜜糖一半伤,2022如何踩准轻医美风口?
- 用户日本帕妃雯保湿面霜用户测评
- 品牌上美不忘初心聚焦用户 韩束荣膺“最具影响力品牌大奖”
- 植物黛珂植物欣韵柔润洁肤霜用户测评
- 用户医美机构直播做自己IP的重要性
