39健康网|一天一个鸡蛋,是心脑血管的“隐患”?劝告:这些人别吃太多
文章图片
文章图片
8月4日 , 60岁的詹先生突发胸痛 , 前往当地医院就诊 。
据家属回忆 , 詹先生当天进食了3个鸡蛋熬的粥后开始胸痛 , 伴有背胀、冒冷汗等不适 。 经过检查 , 心血管科主任肖长江初步诊断为心梗 , 后续通过心肌酶学、心电图等检查进行了确诊 。
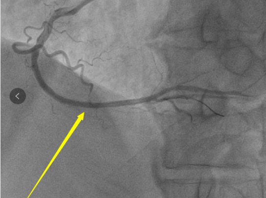
随后 , 心血管中心为詹先生做了冠脉造影 , 造影显示 , 右冠状动脉中段以远完全闭塞 , 前段支也有狭窄 。
时间就是生命 , 肖主任带领团队立即为詹先生开通右冠急性闭塞病变 , 进行血运重建 , 并安装血管支架 。 最终手术圆满完成 , 闭塞的右冠状动脉恢复血流 , 患者胸痛症状缓解 , 生命体征正常 。
?图源:掌上长沙
【39健康网|一天一个鸡蛋,是心脑血管的“隐患”?劝告:这些人别吃太多】詹先生的事很快传遍社区 , 邻居们在称赞抢救及时的同时 , 也不禁对鸡蛋谨慎起来 , 甚至在群里呼吁大家少吃鸡蛋 。
难道 , 中老年人吃鸡蛋 , 真的会给心血管埋下隐患?
一、权威研究:吃鸡蛋或可保护血管
7月13日 , 吴寿岭等学者在著名期刊《营养学》上发表了相关研究 , 在矫正年龄、性别、总热量、血压、血脂等因素后 , 他们发现:与每周进食鸡蛋少于2个的人相比 , 每周进食3~4个蛋的人 , 平均每年baPWV增加的幅度最小 , 对心血管健康有益 。
baPWV可用于判断动脉硬化程度 , 若小于1400cm/s , 则定义为无动脉硬化 。
进一步分析表明 , 每周鸡蛋吃得多(>4个)与吃得少(<3个) , 其动脉硬化的风险基本相似 , 影响无明显关联 。
?
哈佛大学也对此进行过研究 , Frank B Hu等学者对170万参与者进行5.8年到32年不等的随访 , 结果显示 , 每天多吃一个鸡蛋与心血管疾病风险无明显关系 , 并且在亚洲人群中 , 甚至于心血管风险降低8%有关 , 鸡蛋比培根、红肉等食物更健康 。
二、鸡蛋营养丰富 , 吃越多越好?
鸡蛋的营养丰富 , 在营养界被称为“营养之王” , 主要为人体提供以下四种营养 。
蛋白质:鸡蛋的主要成分 , 每颗的含量约7g , 其氨基酸模式均衡 , 十分适合人体吸收利用 , 可以作为人体蛋白的主要来源 。
卵磷脂:卵磷脂是鸡蛋中高密度脂蛋白的重要成分 , 可以调节血脂 , 对大脑神经有重要调节作用 。
维生素:鸡蛋的维生素很丰富 , 富含维生素A、维生素B1、维生素B2、叶黄素等 , 可提供日常膳食10%~20%的叶酸及20%~30%的维生素 。
胆碱:每100g鸡蛋 , 胆碱含量约251mg , 对胎儿大脑发育有利 。 孕期宝宝得到充分胆碱 , 有助于减轻出生后的压力应激反应 , 提高身体素质 。
?很多人提出疑惑:既然营养那么丰富 , 那每天吃8个鸡蛋可行吗?
首先 , 我们要肯定鸡蛋的营养 , 但鸡蛋营养再丰富 , 也仅仅是一种食物而已 , 不是蛋白质的唯一来源 , 豆制品、肉类等食物也有丰富的蛋白质 , 每天吃八个鸡蛋大可不必 。 食物多样化、均衡营养才是最该做的 。
三、吃多少个 , 要看身体如何
·健康人群
《中国居民膳食指南》建议 , 健康人群在肉类、奶类与鱼虾类正常摄入的情况下 , 每周鸡蛋摄入量不宜超过7个 。
经验总结扩展阅读
- 化妆品主持人春妮背免费布包上班!一个化妆包用7年,过期化妆品不舍扔
- 下巴一直感觉王子文很像另一个女星,终于找到了
- 一个人开始变得强大的5种迹象
- 人老了,真正的富有,是拥有一个和睦美满的家
- 一个没太大能力又无学历的离异女人在深圳有房有车,未来会怎样?
- 一个人真正的独立,是从攒钱开始的
- 不管是昨天,今天,明天,能和你在一起的一天,就是美好的一天
- 怎么放下一个很爱的人,如果你还没放下,不妨也可以看看
- 大寒,最后一个节气等待春天!
- 情商低的7个表现,你是一个高情商的人吗?