罗医生说健康 小时候得过肝炎,早就治好了,怎么突然会得肝癌?

文章图片

文章图片
52岁的秦先生是一个建筑工人 , 他有一个女儿 , 已经读完大学参加了工作 。
女儿非常孝顺 , 上班后的第一个月工资就给秦先生和老伴买了一个体检套餐 , 让他们去体检 。 因为女儿知道 , 父母这么多年来从来不舍得去体检 , 有点不舒服就到诊所去拿点药吃 , 平时能抗就抗过去了 。 如果只是让他们去体检 , 他们也肯定不会同意的 , 肯定会说又没啥不舒服 , 浪费钱啥的 。 所以她就直接买了两个体检套餐 , 告诉他们如果不去体检 , 钱也退不了 。
【罗医生说健康 小时候得过肝炎,早就治好了,怎么突然会得肝癌?】
然后秦先生和老伴就去做了体检 。 联系人留的是她自己的电话 。
因为平时父母的身体都挺好 , 并没有啥不舒服 , 所以她也没有太担心体检的结果 。
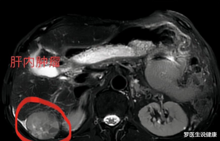
这天正在上班的小秦 , 接到了一个陌生电话 , 对方自称是体检中心 , 告诉她说秦先生的体检结果发现了异常 , 彩超发现秦先生的肝脏已经发生了硬化 , 而且还长了一个很大的肿瘤 , 建议到大医院进一步去检查 。
小秦一下子慌了 , 她不知道会是什么病 , 但是知道肝硬化是一种很严重的疾病 。 所以她赶紧向公司请了假 , 去到体检中心拿到了体检报告 , 之间秦先生的体检结论上写着肝硬化、肝占位 。 她赶紧上网查了一下 , 网上说这种情况很有可能就是肝癌 , 她一下子有点接受不了 , 蹲在地上哭了起来 。
渐渐地 , 她冷静了下来 , 决定赶紧带着爸爸去医院检查 。
秦先生正在工地上干活 , 由于工地比较吵 , 没有听到女儿的电话 。 直到打第三个电话的时候 , 秦先生才听到 。 当女儿告诉他说体检结果发现有问题让他去医院检查的时候 , 他的第一反应就是肯定是体检中心骗人的 , 自己身体好好的 , 怎么可能会有问题 。 但是听着女儿的声音有点不对 , 好像哭了似的 , 这时候秦先生才意识到可能是真的有问题了 。 当时秦先生的第一个想法就是 , 如果是大病就不治疗了 , 绝不能让自己拖累家人 。
然后 , 秦先生就跟着女儿去医院检查 , 挂了肝胆外科的号 。
医生看完秦先生的体检结果以后 , 问秦先生以前有没有乙肝啥的 。 秦先生非常肯定地说没有 , 但是他后面又说了一句话 , 让医生非常的警惕 。 他说:小时候得过肝炎 , 但是那时候就治好了 。
医生没有多说话 , 给秦先生开了乙肝五项、肝功能、甲胎蛋白、增强核磁去检查 。 等到秦先生和女儿正准备走出诊室的时候 , 医生突然叫住了小秦 , 说到:家属你留一下 , 跟你说一下一会检查的注意事项 。 并跟秦先生说到:你先去窗口缴费吧 。 医生跟留下来的小秦说到:你爸爸的病有可能是肝癌 , 等结果出来以后我当着他的面说真实病情 , 到时候你知道就行 。 小秦感激地点了点头 , 赶紧出去陪着秦先生去做检查了 。
折腾了大半天 , 终于这些检查都做完了 。 等到下午结果都出来了 , 便拿着检查结果去找医生复诊 。 小秦看到还是上午的那个医生 , 突然放心了下来 , 她让爸爸坐在了医生对面的椅子上 , 她站在旁边静静的看者医生在电脑上浏览着爸爸的检查结果 。
经验总结扩展阅读
- 俄罗斯人坐地铁,惊掉一地下巴!
- 什么女人的底气YSL圣罗兰皮气垫那么多种到底适合什么皮肤?
- 睡眠皮肤科医生提醒:女人养成4个习惯,科学抗衰,皮肤紧嫩不显老
- 罗子君|你的身边,除了老公,还需要个这种男人
- 头皮为什么头皮总长“痘痘”和“疙瘩”?医生:或与3种疾病有关
- 治疗【用妆】冬季肌肤敏感如何护理?皮肤科医生来支招
- 本文转自:讽刺与幽默生活到底是“条条大路通罗马”的潇洒还是“独木桥和小胡同儿”的和憋屈路...|不会拐弯儿的生活,真逗
- 赵名辉|赵名辉塔罗占卜:你的真爱情人会是什么样的?
- 罗子君|异性相处,有了这三种感觉,才算是真正的灵魂伴侣
- 塔罗占卜|赵名辉塔罗占卜:你们的感情还能复合吗?
