用户_胡洋|病人咳血以为是肺癌,结果却是妇科少见的恶性肿瘤

文章图片
【用户_胡洋|病人咳血以为是肺癌,结果却是妇科少见的恶性肿瘤】

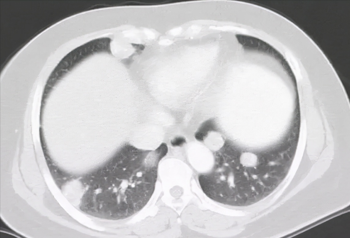
前几天 , 一个35岁女性因为咳嗽、间断咯血一周来门诊就诊 , 常规验血常规 , 做胸部CT , 胸部CT显示右肺一个3.5cm肿块 , 这种单发的不规则肿块 , 恶性可能性很大 , 在问诊过程中 , 仔细询问了她整个发病经过和既往的病史 , 一个细节引起了我的注意 。
她说半年前意外怀孕了 , 只好去做了流产 , 感觉流产之后免疫力下降了 , 身体一直不好 , 老是感冒咳嗽 , 最近还出现了咳血 。 这个流产病史让我很是警觉 , 建议病人抽血查一下β-HCG(人绒毛癌促性腺激素 , 正常值小于5) , 结果显示她的β-HCG>1000mIU/ml 。 这个异常的结果提示病人很可能患的是一种少见的妇科恶性肿瘤——绒癌 。 这个病人后来去其他医院做了妇科彩超和刮宫活检证实确实是妊娠性绒毛膜癌 。
什么是绒癌?
绒癌也叫绒毛膜癌 , 是一种高度恶性的肿瘤 , 相对比宫颈癌、卵巢癌等妇科肿瘤要少见得多 。 绒癌绝大多数继发于葡萄胎、流产或足月分娩以后 , 少数可发生于异位妊娠后 , 称之为“妊娠性绒癌” , 是由妊娠滋养细胞恶变所致 。 从妊娠后到发病的间隔时间是不定的 , 有的流产或分娩之后一两个月就发生 , 有的可长达十多年 。 绒癌恶性程度极高 , 发生转移早而广泛 , 在上世纪50年代化疗药物问世之前 , 其死亡率高达90%以上 。
妇科恶性肿瘤怎么会出现肺部肿块?
绒癌实质上是滋养干细胞失去控制后的异常增生 , 造成原有的绒毛结构发生改变 , 由于其极强的破坏、侵犯血管能力 , 不断侵入子宫肌层、浸润子宫内膜基质 , 因此早期便易出现血行转移 , 而肺常是血行转移的第一站 。 超过80%的绒癌会发生肺转移 , 大于60%的绒癌患者确诊时已发生肺转移 。
肺转移病人常常出现咳嗽、胸痛和咯血 , 严重者可有胸痛、胸闷、呼吸困难 , 甚至出现呼吸衰竭 。 绒癌多发生在子宫 , 部分病人会有阴道流血、腹痛的症状 , 但也有子宫内未发现原发病灶而只有转移灶出现的情况 。
绒癌肺转移灶一般为多发结节 , 早期可表现为不规则的小片状影或磨玻璃样阴影 , 随着HCG的升高 , 表现为边缘光滑、密度均一的多发结节 。 但绒癌肺转移灶也会出现单个病灶 , 需要临床医生仔细询问病史以利于鉴别 。
若未能有效控制肺转移 , 则容易发生脑转移等远处转移 , 成为绒癌最常见的死亡原因 。 值得庆幸的是 , 绒癌的化疗效果非常好 , 绝大多数患者化疗后肺转移灶即可消失 。 甚至极少数人 , 经手术切除后 , 肺转移瘤可自发性消失 。 所以 , 绒癌的临床治愈率很高 , 早期可达到90%以上 , 即使发生了脑转移 , 仍有50%以上的患者可以获得治愈 。
经验总结扩展阅读
- 血糖 糖尿病人建议要减肥,那如何才能健康安全的减肥呢?不妨看看!
- 用户「众测研究团」谁也逃不过真人实测!400人实测霓姿多功能美容仪
- 用户Kanebo嘉娜宝黑管洗面奶怎么样?
- 金晓宇|“躁郁症儿子”成为翻译家,“天才病人”的标签过于浪漫化
- 用户珂润控油保湿啫喱乳液用户测评
- 品牌浪潮产品奖:戴可思—创新应该解决用户的真需求
- 因为25岁人气女团成员崔雪莉风格大变成无眉星人,网友:像白化病病人
- 观点评论曼瑜天雅从创立到全球900万用户只用了3年
- 父亲搞笑GIF趣图:小姐姐,你这样子病人都不想出院了
- 用户一半蜜糖一半伤,2022如何踩准轻医美风口?
