家属说|“狗药”芬苯达唑真的能治愈癌症吗?

文章图片
芬苯达唑(俗称“狗药”)是一种苯并咪唑类驱虫药 , 在犬、猪等动物中具有广泛的抗寄生虫作用 。 近年来 , 有报道称该药物也具有抗肿瘤作用和抑制微管相关微管蛋白聚合 , 但其安全性和耐受性尚不清楚 。
服用“狗药”后发生药物性肝损伤2021年6月17日 , 《karger在线期刊》报告了一个晚期非小细胞肺癌(NSCLC)患者通过社交媒体获得了关于芬苯达唑抗肿瘤活性的信息 , 然后自行口服芬苯达唑 , 随后发生严重肝损伤 。
2018年10月 , 一名80岁的女性因右肺上叶肿瘤入院治疗 。 患者接受了经支气管肺活检 , 诊断为肺腺癌 , IVB期(cT4N2M1c)伴有脑转移 。
后续分析和程序性死亡配体1(PD-L1)IHC 22C3 pharmDx检测(Dako North America)显示该肿瘤存在KRAS G12A突变 , 肿瘤比例评分评价PD-L1表达为80% 。
2018年11月 , 患者开始接受帕博利珠单抗(K药)单药治疗 。 三个月后 , CT扫描显示部分肿瘤反应和癌胚抗原(CEA)水平下降 。
2019年2月 , CEA水平开始上升;然而 , CT扫描显示病情稳定(SD) , 继续使用帕博利珠单抗单药治疗 。
2019年8月13日 , 再次就诊时 , 血液检测显示天冬氨酸转氨酶(AST)水平升高至386 U/L , 谷丙转氨酶(ALT)为487 U/L , 总胆红素1.3 mg/ dL 。 患者这时的身体检查结果和生命体征都不明显 , 没有已知的药物或食物过敏史 。
刚开始 , 怀疑肝损伤是免疫相关的不良反应 。 因此 , 帕博利珠单抗单药治疗暂时停止 , 但与她的家人面谈后 , 发现她自2019年7月初以来一直在服用芬苯达唑(大约口服了一个月) 。 原来自从她的CEA水平上升后 , 她和她的家人害怕疾病出现进展 。 基于社交媒体上报道的抗癌效果 , 患者开始自行购买并开始服用口服芬苯达唑 。
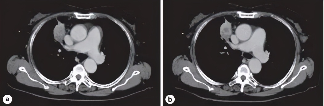
使用芬苯达唑后 , 患者的CEA水平略有升高(即52.7 ~ 76.7 ng/mL) , 并且2019年8月15日的CT扫描未见肿瘤大小变化 。
图注:给药期间胸部CT图像 。 a.2019年7月1日口服芬苯达唑之前的CT表现 。 b .2019年8月15日 , 服用芬苯达唑约1个月后CT表现 。
随后 , 医生建议立即停用芬苯达唑 。 患者肝功能指标逐渐好转后 , 患者重新接受帕博利珠单抗治疗 , 没有出现肝功能损伤 。
图注:肝酶和CEA水平 。 患者于2019年7月初至8月9日重复使用1个月左右的芬苯达唑(1 g / d PO) , 连续3天 , 然后休息4天 。 8月13日 , 血液检测显示AST升高为386 U/L ALT升高为487 U/L , 总胆红素升高为1.3 mg/dL 。 停用芬苯达唑后 , 患者肝功能逐渐好转 。
2019年9月30日 , 患者的AST、ALT和总胆红素水平恢复正常 。
2019年11月25日 , 因其右肺上叶肿瘤增大 , 停止帕博利珠单抗单药治疗 。
总而言之 , 该患者口服芬苯达唑后出现严重的肝功能障碍 , 但对肺部病灶没有观察到抗肿瘤作用 。 虽然报道称芬苯达唑具有很好的抗肿瘤作用 , 但需要进行全面的临床试验来确定其在人类中的药代动力学、安全性和耐药性 , 以便于未来的临床应用 。
肿瘤消失 , 1年后复查没有异常2016年8月 , 美国人Joe被查出了小细胞肺癌 。 尽管积极治疗 , 包括放疗、化疗和头部预防性放疗(超过一半的小细胞肺癌病人会出现脑转移) 。 虽然 , 肺部病灶出现了好转 , 但是还是出现了多处转移 。 这时 , 患者在网络联系上当地的一名兽医 , 根据兽医的建议服用芬苯达唑 , 患者同时服用试验新药和其他药物【姜黄素、大麻二酚(CBD)和大剂量维生素E】 。
三个月后 , PET检查显示癌症消失了 。 又过了三个月继续复查 , 仍显示同样的结果 。
经验总结扩展阅读
- 女神“宽胯”的鲨鱼裤美女,擅长打造优雅靓丽风,魅力无穷
- 女神苏提达是冻龄女神,“花仙子”造型美出圈,高颜值碾压茜茜公主
- 下巴伊人小课堂 | 护肤:人人都有的“面霜”,怎么用才有效?
- 林庆昆|《完美伴侣》“离婚了,我就没有家了!”林庆坤为何是这个反应?
- 方法去角质有哪些方法,需要注意什么
- 致我们人生中,那些说散就散的人
- 穿衣搭配 辛芷蕾“野味儿”发型太阴森、好诡异?剪成高晓松真的只怪你。
- 穿衣搭配 迪丽热巴高马尾+西装杀,可御可甜!网友大呼“迪总娶我!”
- 进行悄悄告诉女人:护肤牢记4个“秘诀”,四十岁看起来也很年轻
- 棕色童瑶的私服搭配挺“普通”,棕色大衣配贝雷帽简约大气,挺显气质
