成都中医哮喘病医院|体检若发现肺结节怎么办?不要慌,大多数结节都是小问题

文章图片

随着CT检查的普及和人们的健康意识的增强 , 很多人都会每年体检一次身体 , 平时也没有咳嗽、胸痛、咳痰的症状出现的人体检报告上却筛查出肺部有结节 , 过去认为肺结节多发于老年人 , 但现在也常见于年轻且不吸烟的女性 。
很多人检查出肺部有结节就开始焦虑不安 , 在没有具体了解肺结节是何种病理的情况下 , 就认为肺结节是肺癌 。 那么肺结节究竟是怎样的存在呢?
肺结节不等于肺癌
目前肺癌的发病率非常高 , 所以关于体检诊断出肺结节的问题很多人会认为就是肺癌早期或者肺癌 。 肺结节可以发展为肺癌 , 当确诊为恶性肺结节时 , 是最危险、癌变几率最大的结节 , 也就是肺癌早期 。
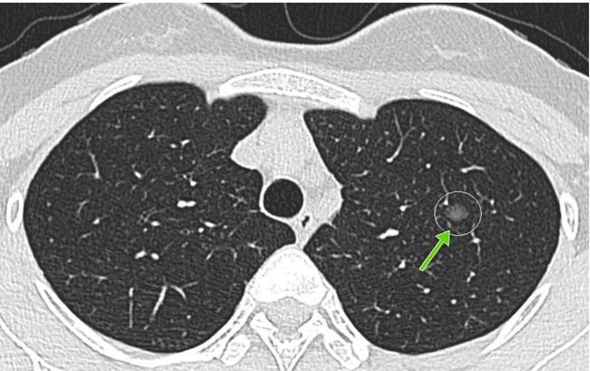
肺结节有良性和恶性之分 , 体检筛查出来的大部分结节都是良性的 , 少部分为恶性的 。 具体的我们可以从结节大小、形质、生长速度三方面来判断其恶性概率 。
结节大小:
一般来说 , 直径小于5mm的肺结节恶性概率低于1% , 超过2cm的肺结节恶性概率高达64%~82% , 如果实性结节超过1.5cm , 或者部分实性结节大小超过8mm , 其恶性的概率较高 。
结节形质:
【成都中医哮喘病医院|体检若发现肺结节怎么办?不要慌,大多数结节都是小问题】1. 实性结节 。 尤其是小的实性结节 , 多属于良性结节 , 高密度、均匀 。
2. 磨玻璃结节 。 小于8—10mm多属于良性结节 , 看起来淡淡的 。
3. 混合结节 。 部分磨玻璃、部分突变 , 恶变率为60%以上 。
变化速度:
通过定期检查肺结节的变化速度来判断是良性还是恶性 , 通常来说 , 良性的肺结节生长速度非常的缓慢 , 也有很大的可能不会继续生长 。 如果肺结节生长速度快 , 体积变化明显 , 逐渐增大 , 这种情况是恶性肺结节的概率很大 。
发现肺结节后该怎么办?
肺结节 , 不必焦虑 , 但也不容忽视 。 一旦体检发现肺部有结节的问题 , 患者应该听医嘱 , 由于结节的性质不同会出现不同的病变 , 所以要定期复查来观察肺结节的情况变化 。
曾经有一位患者放任肺结节不管、不定期复查 , 后来却被诊断为肺癌早期 。
32岁小李 , 2018年体检时发现肺内结节5mm , 那时她听医生说没有什么大问题 , 可能是炎症引起的病灶 , 每隔半年复查一次就可以 , 观察是否继续长大 , 但小李一听医生说没多大问题就放任不管 , 时隔两年后体检却发现长成8mm , 医生在再此诊断结果确是肺癌早期 , 建议做手术 。
日常生活中也不要过度焦虑 , 良好的心态也是战胜疾病的有效方法哦 , 所以查出肺结节的患者在平常的生活中要保持一个好的心情 , 积极地面对、配合相关检查和治疗 , 不要自暴自弃 , 相信病情一定能得到好的缓解和控制 。
经验总结扩展阅读
- Dream2019李易峰Dream Visit成都生日会,大麦网今日1254开启预售!
- 成都亿美教育:成都学化妆纹绣培训哪家好?
- 成都成都亿美化妆培训学校短期化妆培训带你走上高薪行业
- 成都成都亿美化妆学校以良好的口碑备受化妆美睫培训行业追捧的优势
- 亿美成都亿美教育:学新娘妆怎么样?
- 脾胃 要想痘痘好,脾胃保护很重要!中医护肤
- 《人生学》和《人生与幸福》新书新闻发布会在成都召开
- 成都成都医美市场节前迎高峰:有医生提前排满20天手术 轻医美再生材料成新趋势
- 成都|【挑战365天正能量速写画】第044期:小朋友送公交车师傅新年礼物
- 气血脸黄、长褐斑?拒做“黄脸婆”从中医古方开始,补气补血健脾胃
