【最常见的龈炎是哪种能够预防吗】 在龈炎中最常见,也最易发生的是慢性单纯性龈炎,又称为边缘性牙龈炎或龈缘炎 。几乎每个成年人在其一生中的某一个时期均可能发生程度不同、范围不等的慢性龈炎 。它是以长期堆积在龈缘处牙面上的菌斑为始动因子的 。牙石、不良修复体、食物嵌塞、口呼吸等因素可以加重菌斑的堆积,加重牙龈的炎症 。

文章插图
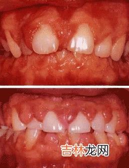
一般轻度的单纯性龈炎只侵犯游离龈和龈乳头,严重者可波及附着龈 。患处牙龈瘀血发红,水肿光亮而松软 。龈缘变厚而不贴附于牙面 。牙间乳头变得圆钝、肥大 。牙龈被触碰、刷牙、咬物时流血 。甚者龈缘糜烂或有肉芽增生、龈袋溢脓,龈沟可由于肿胀而变深,超过3mm,其龈沟底仍位于釉牙骨质界的冠方 。x线片示齿槽骨无明显吸收 。
除去病因后数日至1周内即可治愈 。可行洁治术彻底清牙石,控制菌斑,改正一切造成菌斑滞留和刺激牙龈因素,如矫正不良的修复体及食物嵌塞,充填邻面龋,调牙合等 。教会患者正确的刷牙方法,饭后漱口 。局部涂碘甘油等药物以消除炎症 。
慢性单纯性龈炎是能够预防的,其关键在于坚持每天彻底地清除牙菌斑,即每天用正确地刷牙方式早晚刷牙,使用牙线和牙签清除牙齿邻面菌斑和食物嵌塞等 。
经验总结扩展阅读
- 青春期最易患的龈病是什么
- 凉血活血汤治疗进行期银屑病的临床及实验研究
- 听神经瘤的临床表现是什么
- 噪音性耳聋的常见病因临床表现及其治疗和预防有哪些方面
- 银屑病病情转归与家庭情境因素关系的探讨
- 什么样的牙需要根管治疗
- 什么样的牙能作牙髓塑化治疗
- 银屑病与扁平苔藓中FasL和穿孔素的检测
- 如何预防颌间牵引的副作用
- 银屑病患者外周血T淋巴细胞酪氨酸蛋白激酶活性的初步研究
